.

São utilizadas duas técnicas: a da bissetriz e a do paralelismo, sendo que essa última apresenta vantagens sobre a primeira. Tem sua indicação quando da necessidade de visualização do ápices das raízes dentárias e das estruturas que o rodeiam.

Também chamada de “Bite Wings”, é a técnica de eleição para o diagnóstico de cárie proximal, permitindo também o estudo de cristas alveolares, verificação da relação cárie-câmara pulpar, adaptação de restauração e peças protéticas e cálculos em dentes posteriores. Numa boca adulta são realizadas quatro tomadas radiográficas: pré-molares e molares para cada lado.

Exame radiográfico periapical completo das arcadas. São realizadas um total de 14 radiografias periapicais, assim dispostas: Molares, pré-molares, caninos e incisivos, em ambos os lados e arcadas.
• Convencional
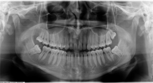
Também chamada de ortopantomográfica. Permite em uma única tomada, a visualização das estruturas do complexo maxilo-facial , conferindo portanto sua utilidade em todas as especialidades. Devido ao posicionamento do paciente (afastado do filme) a imagem não possui a mesma riqueza de detalhes finos como na periapical, porém vantagens como ampla cobertura da área examinada, a projeção das estruturas anatômicas com reduzida superposição , além da baixa dose de radiação, são justificativa de sua crescente aceitação.
• Para Implante

Com o auxílio de um software específico as estruturas anatômicas são evidenciadas e realizamos medidas lineares já corrigindo o valor de ampliação da imagem (específico para cada tipo de aparelho e fabricante).
14 periapicais, 4 interproximais e radiografia panorâmica)
Exame composto de uma tomada radiográfica panorâmica, periapicais boca toda e interproximais de molares e pré-molares. Alia a amplitude de visualização da panorâmica associada com a riqueza de detalhes obtidas nas radiografias periapicais e interproximais que somada a um exame clínico minucioso permite um diagnóstico clínico mais preciso.
Exame que compreende de uma radiografia panorâmica e interproximais de molares e pré-molares de ambos os lados.
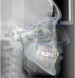
Radiografias do crânio, realizadas a uma distância pré-estabelecida, com o objetivo de diminuir distorções, com o auxílio de um artefato posicionador – cefalostato. Permite mostrar os ossos da face e crânio para avaliação do crescimento, desenvolvimento, relação esqueletal, simetria, estudo de adenóides, processos patológicos e traumáticos. São exames utilizados na prática cirúrgica e ortodôntica, como base para análises cefalométricas, tanto manual como computadorizada.
Utilizada para localização e delimitação de áreas patológicas, de corpos estranhos, determinação das direções, extensões e complexidade das fraturas da mandíbula, vistas principalmente no sentido vestíbulo-lingual.
Possui variações como: PA de Seios da face (Water’s), PA de Mandíbula.
![]()
• Planigrafia de ATM
Tem a finalidade de melhor evidenciar o processo condilar em duas posições: abertura máxima (AM) e máxima interdigitação cuspidaria (MIC), em ambos os lados. É especifica para análise da estrutura condilar.
Devido à grande quantidade de centros de ossificação contidos na mão e punho a radiografia carpal é usada como diagnóstico da maturidade óssea. Através dos dados obtidos pelo Dr. Tavano (USP Bauru) em crianças brasileiras, este recurso fornece ao profissional a curva de crescimento individualizado do paciente, indicando em que etapa do surto este se encontra, bem como quanto tempo falta para o final desse crescimento.
![]()

• RINOPLASTIA

• PAINEL DE FOTOS
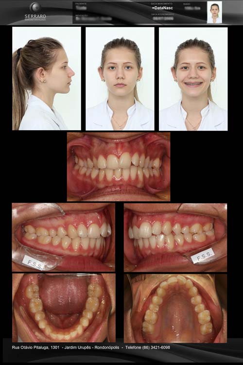
DOCUMENTAÇÃO STANDER

• PAINEL DE FOTOS
DOCUMENTAÇÃO STANDE R COM OCLUSAL

• PAINEL DE FOTOS
ESTETICA

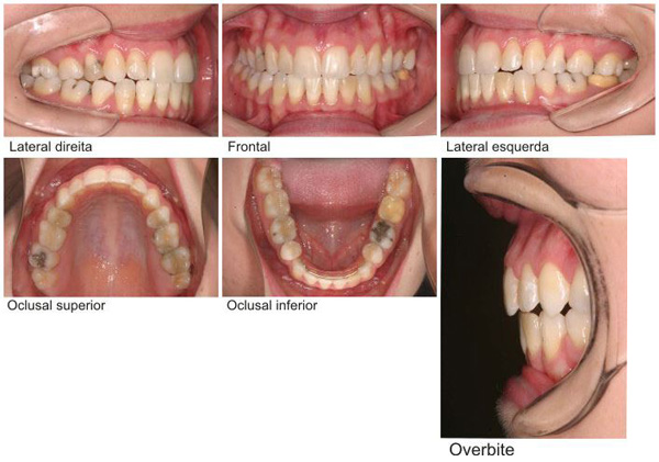
• PAINEL DE FOTOS DOCUMENTAÇÃO ORTODONTICA COMPLETA

Reprodução das arcadas confeccionada em gesso especial.
• Modelo de estudo











